医療法人豊生会 石北歯科医院いしきた歯科医院 口腔外科小児歯科矯正歯科インプラント審美歯科 群馬県渋川市渋川3910-9 0279-22-0235 レーザー CT 親知らず 顎関節症

 

*無断転載を禁じます* Copyright (C) 2008-2009  ishikita dental clinic. All rights Reserved.

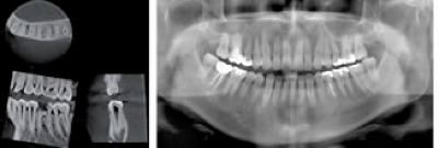
質問.CTって何ですか? 大きな病院にあるCTと同じですか? 普通のレントゲンと何が違うの?


<回答>

当院に設置されている歯科用CTは大きな病院に置いてある全身用のCTと原理的には同じです.

(歯科用に特化したCTなので撮影範囲は口腔領域〜顎関節までになります)


CTとはcomputed tomography;コンピュータ連動断層撮影 の略で、物体に対して色々な角度からX線を当て、そこで得られた情報をコンピュータで合成し、3次元的な画像を構築できる装置です.


通常のレントゲン写真は一方向からしかX線を当てられないので、得られる情報も平面的な写真でしかありません.

対するCT写真は3次元的な画像を撮れるので、対象物を輪切りにして見たり、様々な方向から立体的に評価する事ができます.これにより、例えば顎の骨の中をどのように神経や血管が走行しているか、骨の厚み、密度、歯の中の神経の形、歯の根っこの先の曲がり具合など、詳細に評価できるので、手術を安全かつ安心して受けて頂く事が可能になります.


特に親知らずの抜歯やインプラント治療を行う際には患者様の安全のために必須の検査と考えますが、残念なが

ら多くの歯科医院ではCT装置を備えていないのが現状のようです.


歯科用CTの撮影は保険適応外となってしまいますが、当院では患者様の安全のため、必要と判断された場合は無料でCTを撮影し、患者様の安全確保および的確な治療が行えるよう努めています.




 Top  >  お知らせ  >  特徴  >  スタッフ紹介  >  院内紹介  >  設備紹介  >  Q & Aに戻る  >  料金表  >  Link