医療法人豊生会 石北歯科医院いしきた歯科医院 口腔外科小児歯科矯正歯科インプラント審美歯科 群馬県渋川市渋川3910-9 0279-22-0235 レーザー CT 親知らず 顎関節症

 

最新の診療台を導入しました.長時間座っていても疲れません.

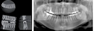
デジタルレントゲン・CT装置

CTでは細かい輪切りの写真を撮れるので、通常のレントゲン写真では診断することのできない3次元的な位置関係を見ることが可能です.

親知らずの抜歯やインプラント手術の際に安心して治療を受けて頂くことができます.

YAGレーザー & CO2レーザー

虫歯を削ることのできるタイプのレーザーです.

ドリルと違い、削る際に痛みを感じません.

また、ドリルのあの“キィーン”という嫌な音もしないので

ドリルが苦手な大人から小さなお子様にオススメです!

もちろん保険適応ですので治療費は通常と変わりません.


知覚過敏の治療に使用したり、

バイ菌を殺菌できるので、神経の治療、歯石取り、

歯周病治療にも活躍します.


器具の滅菌消毒について


当医院では患者様の口腔内で使用する全ての

器具を患者様毎に滅菌消毒しておりますので

安心して治療を受けて頂けます.

最良の歯科医療を提供するべく、最新の設備を導入しております.ここではその一部を簡単に紹介します.

コンピューター制御式電動麻酔注射器


細い針を使用し、コンピューター制御で麻酔薬の注入速度をコントロールすることにより、痛みを感じにくい注射器です.

CAD/CAM装置


セラミックブロックからコンピューターを使って修復物を削りだし、天然歯に近い歯の被せ物を作成します.

身体親和性が高く、環境ホルモンや金属アレルギーの心配がありません.

*保険適応外になります.

AED(自動体外式除細動器)


何らかの原因で心臓がケイレンしてしまい、血液を流すポンプ機能を失って

しまった際に電気ショックを与え、元の正常なリズムに戻すため機械です.


患者様に万が一の事が起こってしまった際に対応できるよう、常備しています.

 Top  >  お知らせ  >  特徴  >  スタッフ紹介  >  院内紹介  >  設備紹介  > Q & A  >  料金表Link

Copyright (C) 2008-2010  ishikita dental clinic. All rights Reserved.

電子式エアクリーナー


皆様に気持ちよく来院して頂けるように、

診療室に2機、待合室に1機 計3機のエアクリーナーを新規増設しました.

空気中に漂う細かな目に見えない削りカスを強力に集埃し、空気中のウィルス・細菌を90%以上カット.

マイナスイオンによるリフレッシュ効果.歯科医院独特の嫌な匂いを消臭し、院内の空気を常に清潔に保ちます.