医療法人豊生会 石北歯科医院いしきた歯科医院 口腔外科小児歯科矯正歯科インプラント審美歯科 群馬県渋川市渋川3910-9 0279-22-0235 レーザー CT 親知らず 顎関節症

 

*無断転載を禁じます* Copyright (C) 2008-2009  ishikita dental clinic. All rights Reserved.

質問.歯を白くキレイにしたいので、ホワイトニングについて教えて下さい.



<回答>

当院ではホームブリーチという方法で歯の漂白を行います。

ホームブリーチは患者様の時間がある時に自分のペースで行えるため、とても手軽な漂白方法です。


具体的には、まずお口の中を診査させて頂き、歯石や茶渋などの沈着があれば、道具を使ってクリーニングを行います。

次に患者様の歯型を採り、マウスピースを作成します。

あとは、お家で患者様がご自身でマウスピース内に薬液を入れて、ご都合の良い時に約2時間程度装着していただくだけです。昼間でも夜でも患者様の都合の良い時で構いません。

歯の黄ばみ具合や質などにより個人差はありますが、通常は開始から2〜3日程度で効果が現れ、1週間程度で白さを実感される方が多いです。


治療の副作用として歯が一時的にしみやすくなる「知覚過敏」を生じることがありますが、その場合は数日治療を休んで頂ければ自然に治りますのでご安心下さい。


漂白を行う事によって「歯が溶ける」とか「虫歯になりやすくなる」といった誤解をされている方が多いのですが、そういった事実はありませんのでご安心下さい。


また、一度白くなっても、毎日の飲食によりどうしても色が後戻りしてしまう場合があります。着色が気になった時には再度漂白を行って下さい。(漂白ジェルが無くなってしまった場合は 1本3000円にて販売しております。)


上記にも述べましたように、知覚過敏を防ぐため、連続して漂白を行う場合は、1回の漂白期間を最長で2週間程度にしていただき、1ヶ月程度の休憩期間を設けることを推奨しています。

(通常は1週間程度の使用で白くなります。)



当院ではご好評につきホワイトニング治療を大幅に値下げしました。

 ・上下顎のマウスピース作製料 + 漂白ジェル 2本 (1週間〜10日分)     ¥15,000 にて

 ・追加分の漂白ジェル ¥3000/1本



この機会に是非とも自然で白い美しい歯を手に入れて下さい!

歯が白くなると、笑顔に自信を持つ事ができ、毎日の生活が楽しくなりますよ!



 Top  >  お知らせ  >  特徴  >  院内紹介  >  設備紹介  >  Q & Aに戻る  >  Link

 Top  >  お知らせ  >  特徴  >  スタッフ紹介  >  院内紹介  >  設備紹介  >  Q & Aに戻る  >  Link

 Top  >  お知らせ  >  特徴  >  スタッフ紹介  >  院内紹介  >  設備紹介  >  Q & Aに戻る  >  料金表  >  Link

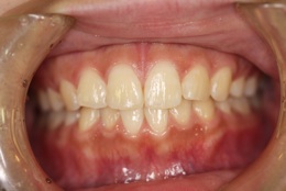
治療前                          治療後1週間後